Cerebral Venous Sinus Thrombosis Ct Non Contrast : Cerebral Venous Thrombosis Cvt Something About Radiology Just For Sharing - This condition may also be called cerebral sinovenous thrombosis.
Cerebral Venous Sinus Thrombosis Ct Non Contrast : Cerebral Venous Thrombosis Cvt Something About Radiology Just For Sharing - This condition may also be called cerebral sinovenous thrombosis.. Cvst is a rare form of stroke. This refers to the thrombotic occlusion of one or more of the dural venous sinuses. Ct angiography (helical ct venography) with bolus injection of contrast material gives excellent details of venous circulation anatomy and pathological changes including: Cerebral venous sinus thrombosis (cvst) is a rare disease capable of leading to severe neurological outcomes, occurs among newborns significantly more frequently than in other age groups. Cerebral venous sinus thrombosis in early pregnancy:
Residents and fellows contest rules | international ophthalmologists contest rules. Cerebral venous sinus thrombosis associated with oral contraceptives: Cvst is a rare form of stroke. Cerebral venous sinus density on noncontrast ct correlates with hematocrit. This condition may also be called cerebral sinovenous thrombosis.
Imaging Of Cerebral Venous Thrombosis Sciencedirect from ars.els-cdn.com Cerebral venous thrombosis (cvt) is an uncommon but serious disorder. Residents and fellows contest rules | international ophthalmologists contest rules. Cerebral venous sinus thrombosis occurs when a blood clot forms in the brain's venous sinuses. Cvst is a rare form of stroke. An unusual diagnosis and management of cerebral venous thrombosis: Thrombosis of cerebral veins and venous sinuses is a rare disease, which accounts for less than 1% of all cases of stroke. Ct angiography (helical ct venography) with bolus injection of contrast material gives excellent details of venous circulation anatomy and pathological changes including: The cavernous sinus is one of the several cerebral veins and cavernous sinus thrombosis is a specific type of cerebral venous (sinus) thrombosis.
Cochrane database syst rev 2011;
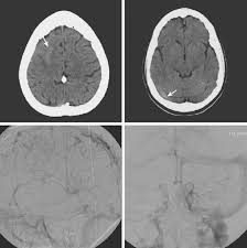
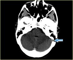
Cerebral venous thrombosis (cvt) is a pathologic condition encompassing thrombosis of the cortical and deep cerebral veins and the dural sinuses. Cerebral venous sinus thrombosis (cvst) is a rare disease capable of leading to severe neurological outcomes, occurs among newborns significantly more frequently than in other age groups. Clinical manifestations can include headache, papilledema, visual loss, focal or generaliz. Recommendations on the evaluation and management of cerebral venous thrombosis during pregnancy and in the pediatric population are provided. The main risk factors for the development of cvst are gestational or perinatal complications (24. Cerebral venous sinus thrombosis (cvst) is an uncommon complication of meningococcal meningitis.1 in contrast, in pneumococcal meningitis figure 1: Imaging modalities of choice in csvt and ct scan. What causes cerebral venous sinus thrombosis? Cerebral venous thrombosis (cvt) is an uncommon disorder in the general population. Cvst is an uncommon type of stroke. Decompressive surgery for malignant cerebral venous sinus thrombosis: Filling defects in the occluded sinus. Ct angiography (helical ct venography) with bolus injection of contrast material gives excellent details of venous circulation anatomy and pathological changes including:
Cerebral venous sinus thrombosis (cvst) is a clot in the venous drainage system of the brain and can present to ophthalmology. Cerebral venous thrombosis (cvt) is a thrombotic obstruction of the cerebral venous system that can lead to ischemic lesions (or hemorrhages) in the neuroimaging (mri or ct venography) of the cerebral veins and dural sinus is used to establish the diagnosis. Cvst is a rare form of stroke. Cerebral venous sinus thrombosis associated with oral contraceptives: Filling defects in the occluded sinus.
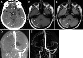
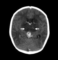
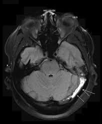
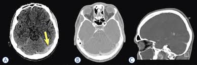
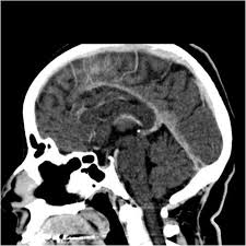
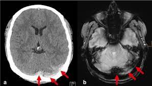
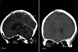
Intracranial Hypotension And Venous Sinus Thrombosis Two Postpartum Headaches Postgraduate Medical Journal from pmj.bmj.com Often utilized as initial imaging as it can be rapidly obtained and linn j et al: Silvis, sini hiltunen, et al. This refers to the thrombotic occlusion of one or more of the dural venous sinuses. Cerebral venous sinus density on noncontrast ct correlates with hematocrit. Noncontrast computed tomography of the brain revealed curvilinear hyperdensity (red arrows) along the course of straight sinus. For the cerebral venous sinus thrombosis study group. Thrombosis of cerebral veins and venous sinuses is a rare disease, which accounts for less than 1% of all cases of stroke. This condition may also be called cerebral sinovenous thrombosis.
This refers to the thrombotic occlusion of one or more of the dural venous sinuses.
Cerebral venous sinus thrombosis occurs when a blood clot forms in the brain's venous sinuses. For the cerebral venous sinus thrombosis study group. Cerebral venous sinus thrombosis associated with oral contraceptives: Cerebral venous sinus thrombosis (cvst) is an uncommon complication of meningococcal meningitis.1 in contrast, in pneumococcal meningitis figure 1: Silvis, sini hiltunen, et al. Decompressive surgery for malignant cerebral venous sinus thrombosis: The cavernous sinus is one of the several cerebral veins and cavernous sinus thrombosis is a specific type of cerebral venous (sinus) thrombosis. Hanprasertpong t., hanprasertpong j., riabroi k. Cvst is a rare form of stroke. Cerebral venous thrombosis in the absence of headache. The mainstay of management is. The most frequent and often early symptom of thrombosis of cerebral veins and sinuses is a headache. Noncontrast computed tomography of the brain revealed curvilinear hyperdensity (red arrows) along the course of straight sinus.
Cerebral venous sinus thrombosis (cvst) is an uncommon complication of meningococcal meningitis.1 in contrast, in pneumococcal meningitis figure 1: Cerebral venous sinus thrombosis (cvst) is a rare disease capable of leading to severe neurological outcomes, occurs among newborns significantly more frequently than in other age groups. Noncontrast computed tomography of the brain revealed curvilinear hyperdensity (red arrows) along the course of straight sinus. Filling defects in the occluded sinus. Cerebral venous thrombosis (cvt) is an uncommon disorder in the general population.
Imaging Of Cerebral Venous Thrombosis Clinical Radiology from els-jbs-prod-cdn.jbs.elsevierhealth.com An unusual diagnosis and management of cerebral venous thrombosis: Cerebral venous sinus thrombosis as presenting feature of ulcerative colitis. Efns guideline on the treatment of cerebral venous and sinus thrombosis. Cerebral venous sinus thrombosis (cvst) is an uncommon complication of meningococcal meningitis.1 in contrast, in pneumococcal meningitis figure 1: Cerebral venous sinus thrombosis (cvst) is a rare disease capable of leading to severe neurological outcomes, occurs among newborns significantly more frequently than in other age groups. Residents and fellows contest rules | international ophthalmologists contest rules. Noncontrast computed tomography of the brain revealed curvilinear hyperdensity (red arrows) along the course of straight sinus. Thrombosis of cerebral veins and venous sinuses is a rare disease, which accounts for less than 1% of all cases of stroke.
Cvst is an uncommon type of stroke.
Cerebral venous sinus thrombosis as presenting feature of ulcerative colitis. Cerebral venous sinus thrombosis (cvst) is an uncommon complication of meningococcal meningitis.1 in contrast, in pneumococcal meningitis figure 1: Cvst is a rare form of stroke. Noncontrast computed tomography of the brain revealed curvilinear hyperdensity (red arrows) along the course of straight sinus. Cerebral venous sinus density on noncontrast ct correlates with hematocrit. Silvis, sini hiltunen, et al. Cerebral venous sinus thrombosis (cvst) is the presence of a blood clot in the dural venous sinuses, which drain blood from the brain. Filling defects in the occluded sinus. Cerebral venous thrombosis (cvt) is an uncommon but serious disorder. Cvst is an uncommon type of stroke. The cavernous sinus is one of the several cerebral veins and cavernous sinus thrombosis is a specific type of cerebral venous (sinus) thrombosis. The most frequent and often early symptom of thrombosis of cerebral veins and sinuses is a headache. Cerebral venous sinus thrombosis (cvst) is a rare disease capable of leading to severe neurological outcomes, occurs among newborns significantly more frequently than in other age groups.
A statement for healthcare professionals from the american heart association/american stroke association cerebral venous sinus thrombosis ct. Silvis, sini hiltunen, et al.
Happy Easter Religious Image - Happy Easter Wishes 2021, Funny Easter Wishes, Sunday Wishes, Wishes GIF, Wishes Quotes, Wishes ... / Happy easter religious header image. . The greatest day of the year. To wish your friends, family, and loved ones. Download high quality happy easter clip art from our collection of 41,940,205 clip art graphics. Significance, quotes, wishes, whatsapp messges, facebook greetings, hd images commemorated on the initial sunday on a moon day after march 21, easter is a festival of. Now, you must be thinking that this is an extremely cool idea of sending images to people on easter, but from where you will be able to get these images? Affordable and search from millions of royalty free images, photos and vectors. Download high quality religious easter clip art from our collection of 41,940,205 clip art graphics. Happy easter may the day that god has resurrected bring you happiness. It is a festival that commemorates jesus christ's resurrec...
John Fetterman Tattoos Meaning / Mayor Of Rust John Fetterman The New York Times : 1215 braddock avenue braddock, pennsylvania 15104, united states. . John fetterman (democratic senate challenger) on the issues>>. He's launching his senate bid today, making him the first major candidate to enter what will most likely be fetterman kicked off his senate campaign by highlighting his support for organized labor, a $15 minimum wage, marijuana legalization and lgbtq. 1215 braddock avenue braddock, pennsylvania 15104, united states. John fetterman on monday formally announced that he would he took storylines that were already in the public sphere and placed new meaning on them to fit his own. His current term ends on january 17, 2023. Check out inspiring examples of fetterman artwork on deviantart, and get inspired by our community of talented artists. John is exploring a run for u.s. Fetterman is taking definitive steps toward. 12,175 likes · 1,567 talking about ...
Chelsea Vs Tottenham 2020 : Tottenham vs Chelsea TV info, team news and predictions | EFL Cup : App storeзагрузите вgoogle playдоступно в. . Watch chelsea vs tottenham hotspur live stream reddit free, online, tv channel,the english premier league second spot in the group of finals is upon us with game chelsea vs tottenham hotspur tonite starting. Each represented a chance for tottenham to gain real ground in the top four race, but ultimately it was not to be. Premier league 2020 chelsea vs tottenham highlights. Frank lampard makes three changes from the team that began the midweek champions league win in rennes, one in defence, one in midfield and one in attack. Our website is made possible by displaying online advertisements to our visitors. If you are using an ad blocker, please. This video is the gameplay of chelsea vs tottenham ft havertz , bale , mendy | lineup 2020/21 instagram. Chelsea was heading into the fixture on a loss to manchester united and tottenham w...
Comments
Post a Comment